مميزات وعيوب زرع الاسنان

مميزات وعيوب زرع الاسنان
مميزات وعيوب زرع الاسنان

يقدم لكم موقعنا أبرز مميزات وعيوب زرع الاسنان ، و تجربتي مع زراعة الأسنان ، و أعراض فشل زراعة الأسنان ، و شروط زراعة الأسنان ، و مدة زراعة الأسنان ، و تعفن زراعة الأسنان ، و بدائل زراعة الأسنان ، تعد عملية زراعة أسنان جديدة مقارنة بطرق علاج أخرى مثل تركيب جسر، طريقة مفيدة وناجحة عادة لتعويض الأسنان المفقودة أو التالفة لكن للزراعة مخاطر أيضا ومشاكل قد يواجهها المريض فيما بعد، رغم إيجابيات وميزات عملية الزراعة ، و في المقال التالي تابعوا معنا مميزات وعيوب زرع الاسنان .

مميزات وعيوب زرع الاسنان

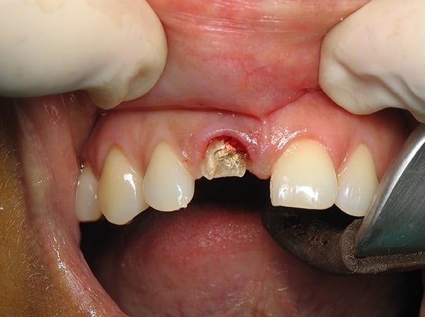
زراعة الأسنان أي يمكن تعويض فقد السن بسنٍ آخر عبر زرعه بطريقة مشابهة لانغراس السن العادي بشكل طبيعي في اللثة، وذلك من خلال برغي معدني يغرس داخل عظم الفك، ثم تثبيت التعويض السني فوقه ورغم فعالية هذه التقنية إلا أن لها بعض العيوب، التي سوف نتحدث عنها فيما يلي :

مميزات وعيوب زرع الاسنان
مميزات وعيوب زرع الاسنان

تمتلك زراعة الأسنان العديد من المميزات ، مثل :

  • تتميز الزراعة بأن نتيجتها ثابتة، لأنها تعتمد على الاندماج مع العظم، مما ينعكس على ثقة المريض وشعوره بالراحة، على عكس الأطقم التقليدية التي قد تحتاج لاستخدام مواد لاصقة باستمرار للبقاء في مكانها.
  • تعطي زراعة الأسنان شكلًا جميلًا، يحاكي شكل الأسنان الطبيعية.
  • يستطيع المريض أن يتناول طعامه بصورة أفضل بفضل ثبات التركيبة التعويضية، وعدم تحركها أثناء الأكل.
  • لا تؤثر الزراعة على الأسنان المجاورة، وكذلك تحافظ على صحة اللثة والأنسجة المحيطة.
  • تتميز زراعة الأسنان بعمرها الطويل، إذ تدوم لسنوات طويلة، ويمكن مع الاهتمام بصحة الفم أن تستمر مدى الحياة.
  • تحافظ زراعة الأسنان على عظم الفك، وتمنع تآكله الذي يتبع عادة فقدان الأسنان.
  • تتحسن قدرة المريض على التحدث وضبط مخارج الحروف بفضل تعويض الأسنان عن طريق الزرعات الثابتة عوضًا عن أطقم الأسنان التقليدية التي قد تتحرك أثناء الحديث، كما أنها تمنع اتصال اللسان بالحلق، مما يؤثر على نطق بعض الحروف.

تتجاوز نسبة نجاح الجراحة 90%، ويمكنها تحسين جودة الحياة بشكل ملحوظ، ولكن تشمل العيوب ما يأتي :

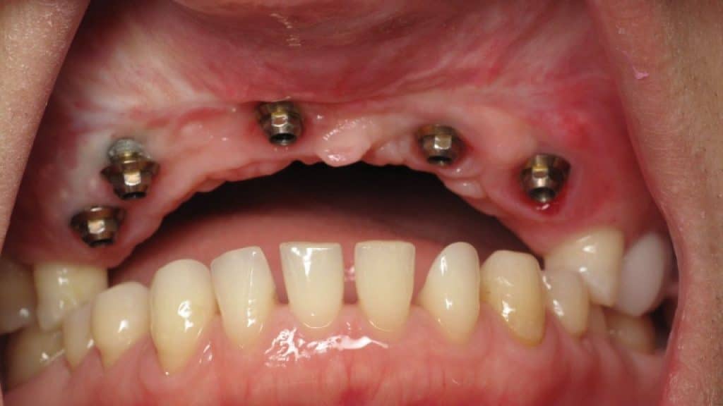
  • الحاجة إلى عمل إضافي قبل الزراعة على سبيل المثال إذا كان عظم الفك ضعيفًا بسبب هشاشة العظام فقد يقوم الجراح بما يسمى بترقيع العظام للجزء الضعيف من الفك كما قد يلجأ إلى رفع تجويف الجيوب الأنفية إذا كان متضخمًا ودفعه إلى المنطقة التي تحتاج إلى ترقيع عظمي.
  • الحاجة إلى وقت طويل لظهور النتائج لا تعد زراعة الأسنان حلًا سريعًا حيث أنها تتطلب خطوات متعددة، بما في ذلك الانتظار لمدة تصل إلى ستة أشهر حتى تندمج الزرعة مع عظم الفك، وهي عملية تسمى التحام العظم، لذا قد يتم ارتداء سن مؤقت فوق مكان الزرعة.
  • مرتفعة التكاليف لا يغطي التأمين عادةً عمليات زراعة الأسنان وهذه من عيوب زراعة الأسنان، وقد تبلغ تكلفتها مبلغ مرتفع للزرعة الواحدة وقد تصل لعشرات الأضعاف عند الحاجة للعديد من الأسنان.
  • الإصابة بالتهاب المنطقة المحيطة بالزرعة من عيوب زراعة الأسنان أن تصاب اللثة المحيطة بمكان الزرع بالبكتيريا، مما يؤدي إلى التهاب المنطقة المحيطة بالزرعة، وهو يعد من أمراض دواعم السن التي يمكن أن تؤدي إلى فقدان العظام.

تجربتي مع زراعة الأسنان

تعد تجربة زراعة الأسنان سواء العادية أو زراعة الأسنان الفورية من أكثر الإجراءات الطبية التي تعد مقلقة قبل إجرائها، فالبعض يخاف من ألم العملية والبعض الآخر يتشكك في مدى جدواها ، لهذا اخترنا لكم فيما يلي بعض التجارب مع زراعة الأسنان :

مميزات وعيوب زرع الاسنان
مميزات وعيوب زرع الاسنان
  • التجربة الاولى : يقول ايمن احد الاشخاص الذين قاموا بعملية زراعة الاسنان في مصر انه فقد احد اسنان الفك العلوي في عمر ال25 , وهذا كان سبب احراج له متسبب في تعب نفسي رهيب, ثم توجه الي احد مراكز زراعة الاسنان لتعويض السن المفقود ويقول ان تجربتي مع زراعة الاسنان كان مجدية جدا, وكان اصعب شئ واجهه هو انتظاره 6 اشهر لكي تحدث عملية الالتئام وان تجربته مع عملية زراعة الاسنان غير مؤلمة علي الاطلاق.
  • التجربة الثانية : إحدى الحالات التي تتحدث عن تجربتها في زراعة الأسنان هي شابة تبلغ من العمر 35 سنة، وتقول أنها تعرضت لحادث بالسيارة منذ قرابة العام ونصف نتج عنه إصابة في الفك وفقدان بعض الأسنان، وكان خيار زراعة الأسنان هو الحل الأنسب لها تقول في تجربتها كنت أعتقد أنها نهاية العالم عندما اكتشفت أن ثلاثة من أسناني ليست موجودة بعد الحادث وأنا لا زلت في هذا العمر، ولكن بعد استشارة طبيب الأسنان أخبرني أنه بمجرد التعافي من إصابات الحادث والتئام الأنسجة واسترداد صحتي يمكنني إجراء زراعة الأسنان، وبالفعل تمت العملية وكانت النتيجة مرضية للغاية رغم أن فترة العلاج استغرقت عدة أشهر وكانت مؤلمة إلى حد ما، ولكن لا يقارن هذا الألم بما شعرت به بعد الحادث.
  • التجربة الثالثة : سيدة مصرية تبلغ من العمر 49 سنة تقول أن تجربتي مع زراعة الأسنان كانت مميزة حقاً، حيث كنت أريد إجراء زراعة الأسنان الفورية لأنني سوف أسافر خارج البلاد لفترة لحضور مؤتمر هام ولن أتمكن من الانتظار لشهور، وبعد التشخيص تبين أنني مرشحة جيدة للزراعة الفورية للأسنان دون مشاكل، وبالفعل خلال ثلاثة أيام تم حلول السن الجديد محل السن الذي فقدته من قبل في الفك العلوي.

أعراض فشل زراعة الأسنان

الشعور بالالم و تورم اللثة من الامور الشائعة بعد اجراء عملية زراعة الاسنان و لكن لا تتكاسل ابداً اذا كانت أعراض عملية زراعة الاسنان كالأتي :

مميزات وعيوب زرع الاسنان
مميزات وعيوب زرع الاسنان
  • الحركات الصغيرة للزرع عندما لا تكون غرسات الاسنان مستقرة بشكل صحيح فيمكن حدوث الحركات الدقيقة للزرع و تحدث ايضاً بعد استبدال السن فورياً.
  • يتم بعد اندماج الزرع مع عظام الفك بشكل صحيح ربط السن الصناعية و لا تتم العملية الا في ذلك الترتيب و تتم تلك العملية في عدد زيارات اقل للطبيب و لكن في بعض الاحيان تؤدي تلك الطريقة الي زيادة الضغط علي الزرع و تودي به الي الفشل.
  • العدوى في موقع الزرع من الممكن أن تتطور حالة العدوي خلال الجراحة أو بعدها و من العوامل التي تزيد من خطر العدوي هو وجود ما يسمي مرض المناعة الذاتية و الاستمرار في التدخين و عدم الاهتمام بنظافة الاسنان.
  • دعم العظام غير الكافي يؤدي الي ظهور أعراض فشل زراعة الأسنان من احد الاسباب التي تؤدي الي الفشل المبكر لعملية زراعة الاسنان أن لا تكون العظام كافية بمفردها لدعم عملية زرع الاسنان.
  • و مع ذلك يستكمل الجراح العملية في جميع الاحوال لا يكون الاندماج التام بين الفك و الغرسة بدون وجود عظام كافية.

شروط زراعة الأسنان

من الجدير بالذكر أن هناك بعض الشروط التي يجب أن تتوفر بمن يجرى زرع الأسنان له، من ضمنها ما يلي:

مميزات وعيوب زرع الاسنان
مميزات وعيوب زرع الاسنان
  • وجود كمية كافية من عظم الفك في المنطقة المراد الزراعة بها، وإلا سوف يقوم الطبيب بإجراء عملية استعاضة العظم المفقود أولاً
  • إجراء اخصائي زراعة الأسنان لمجموعة من التحاليل والصور الإشعاعية وذلك للتأكد من بعد العظم المراد الزراعة فيه عن التجاويف الأنفية وأعصاب الفم
  • أن يتوقف المريض عن التدخين تماما قبل وبعد زراعة الأسنان
  • أن يكون المريض معافى من بعض الأمراض التي يمكن أن تؤثر على صحة العظام مثل الحالات المتقدمة من مرض السكري أو مرض هشاشة العظام أو أمراض مزمنة أخرى
  • مداومة المريض على صحة فمه وأسنانه بعد إجراء العملية وذلك لأن الاسنان المزروعة تحتاج إلى رعاية كالأسنان الطبيعية تماماً
  • الزيارات الدورية لطبيب الأسنان كل ستة أشهر تقريبا للاطمئنان على صحة الفم والأسنان.
  • أن يكون المريض تعدى عمر 18 سنة وذلك لضمان اكتمال نمو العظام

مدة زراعة الأسنان

مميزات وعيوب زرع الاسنان
مميزات وعيوب زرع الاسنان

تتراوح مدة زراعة الأسنان من شهرين إلى 6 أشهر في المتوسط، وقد تزداد هذه المدة تبعًا لحالة العظم وجودته، لكن يغلب على الزرعات في الفك العلوي أنها تحتاج فترة 4-6 أشهر، بينما يحتاج الفك السفلي قرابة الـ 3 أشهر، أما إذا احتاج الأمر إلى وضع عظم فيجب الانتظار مدة 6 أشهر في الحالتين.

تعفن زراعة الأسنان

مميزات وعيوب زرع الاسنان
مميزات وعيوب زرع الاسنان
  • يمكن أن تدمر العدوى فرص الغرسة في الاندماج بنجاح. واحدة من أكثر أنواع العدوى شيوعا والتي تؤثر على زراعة الأسنان هو التهاب الغشاء المحيط بالمنطقة المزروعة ، وهو نوع من أمراض اللثة. يمكن أن تبدأ هذه العدوى خلال أو بعد الجراحة، سواء كان ذلك بسبب وجود جرح مفتوح أو بسبب لاصق الأسنان، والذي يمكن أن يتسرب تحت التاج ويتعثر في اللثة.
  • في معظم حالات التهاب بطانة العظام في الأسنان، يتطلب ذلك استبدال عملية زراعة الأسنان الفاشلة ، المرضى الذين يعانون من أمراض المناعة الذاتية ، أولئك الذين يدخنون بشراهة، أو الذين يعانون من سوء نظافة الفم هم أكثر عرضة للإصابة بهذا المرض.

بدائل زراعة الأسنان

هناك الكثير من الطرق التي يتم اللجوء إليها قبل إجراء عملية زراعة الأسنان كحلول بديلة وأقل تكلفة وآمنة على صحة المريض نذكر منها :

مميزات وعيوب زرع الاسنان
مميزات وعيوب زرع الاسنان
  • جسور الأسنان الثابتة يوصَى باستخدام جسر الأسنان الثابت عندما يكون لدى المريض واحد أو أكثر من الأسنان المفقودة، ويتم عمله من خلال برد وتحضير الأسنان المجاورة على جانبي السن المفقود وتعتبر جسور الأسنان بديلًا ثابتًا للأسنان الطبيعية، ويمكن تنظيفها والعناية بها بسهولة، وتسمح لك بالتحدث وتناول الطعام بأريحية، كما أنها تمنع انحراف الأسنان المجاورة ستمنعها من مكانها تجاه الفراغ.
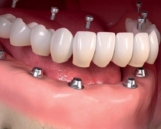
  • تركيب الأسنان يعد تركيب الأسنان المصطلح الأشمل الذي يتضمن تركيب الأسنان الثابتة أو المتحركة بالإضافة إلى زراعتها، ويكمن الاختلاف الجذري بين تركيب الأسنان أو زراعتها (سواءً كانت ثابتة أو متحركة) في أسلوب تثبيت التركيبة الجديدة، ًفي وقتنا الحاضر أصبحت زراعة الأسنان من الممارسات الاعتيادية السهلة في عيادات الأسنان، مثلها مثل الحشو أو التنظيف، وستصبح قريبا الحل الوحيد لاستعاضة ما تم فقده من الأسن.
  • التركيبات المتحركة تعتمد التركيبات الثابتة أو المتحركة على الأسنان المحيطة بها لتحصل على الثبات ومقاومة الحركة والتخلخل أثناء تأدية وظيفتها، ويعمل الجزء المغروس في العظم من الأسنان المزروعة على تثبيت السن و دعمه دون المساس بأي من الأسنان أو الأنسجة المحيطة به أصبحت التركيبات المتحركة الآن إستخدامها نادراً كحل مؤقت، و يمكن استخدامها مع كبار السن في الأطقم الكاملة ودعمها بزرعات أسفلها.